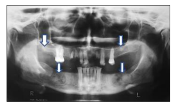
Paciente, 48 anos, sexo feminino, melanoderma, apresentou-se para consulta odontológica com radiografia panorâmica, solicitada por um cirurgião-dentista para programação cirúrgica de raízes residuais. Ao analisar a radiografia, foram observadas áreas radiopacas permeadas por áreas radiolúcidas nas regiões posteriores da mandíbula (quadrante posterior direito e esquerdo). Na maxila, foram identificadas duas áreas radiopacas localizadas nos quadrantes posteriores de ambos os lados (direito e esquerdo). As lesões eram assintomáticas e não provocavam nenhuma alteração nas corticais; portanto, se tratava de achado radiográfico. Nenhuma outra informação da saúde da paciente foi digna de nota. Analise a radiografia a seguir:

Após análise dos aspectos clínicos e radiográficos, assinale a conduta correta a ser instituída para a paciente em relação às lesões observadas.