Homem de 75 anos, vítima de queda de 3 metros de altura, seguida de perda de consciência, vômitos e cefaleia. Chega à emergência apresentando-se: sonolento, expressando sons incompreensíveis, respondendo a estímulos verbais (abre o olho quando contactado) e localiza a dor. Pupilas anisocóricas, SO2: 85%, PA: 110 x 75 mmHg.
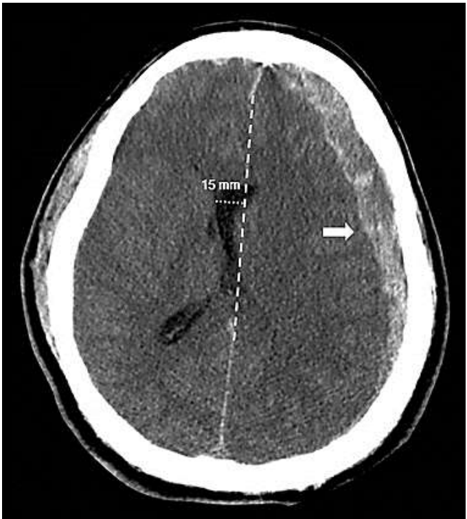
Sobre o caso anterior, o paciente encaminhado para realização de tomografia de crânio (imagem).

Tomografia de crânio
Sobre o diagnóstico mais provável e a melhor conduta sugerida ao paciente, assinale a alternativa correta.