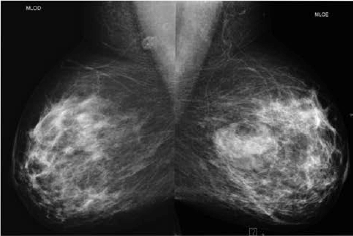
Paciente de 40 anos realizou esta mamografia para rastreio, sendo assintomática. A ultrassonografia realizada em outro serviço, 6 meses antes da mamografia, demonstrou pequeno nódulo hipoecoico de 1,5 cm no QSE da mama direita e nenhuma lesão na mama esquerda. Assinale a alternativa correspondente à hipótese diagnóstica da imagem nodular da mama esquerda observada na mamografia.

Provas
Questão presente nas seguintes provas