
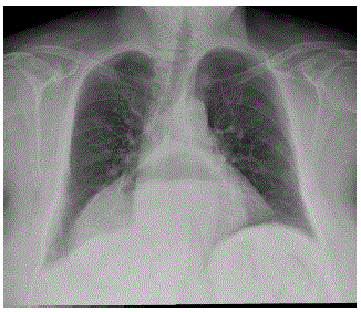
Mulher de 60 anos de idade refere dor epigástrica, tosse e náuseas após as refeições há cerca de 1 ano. Realizou uma radiografia de tórax com a imagem abaixo:

Qual é o diagnóstico mais provável?
Provas
Questão presente nas seguintes provas
Residência Médica - s Básicas e Acesso Direto
100 Questões