
Considerando a figura acima, julgue os itens que se seguem.
A estrutura VII é uma mitocôndria, organela que possui DNA próprio, o qual é responsável pela síntese de muitas enzimas envolvidas no metabolismo oxidativo.

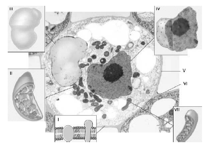
Considerando a figura acima, julgue os itens que se seguem.
A estrutura VII é uma mitocôndria, organela que possui DNA próprio, o qual é responsável pela síntese de muitas enzimas envolvidas no metabolismo oxidativo.