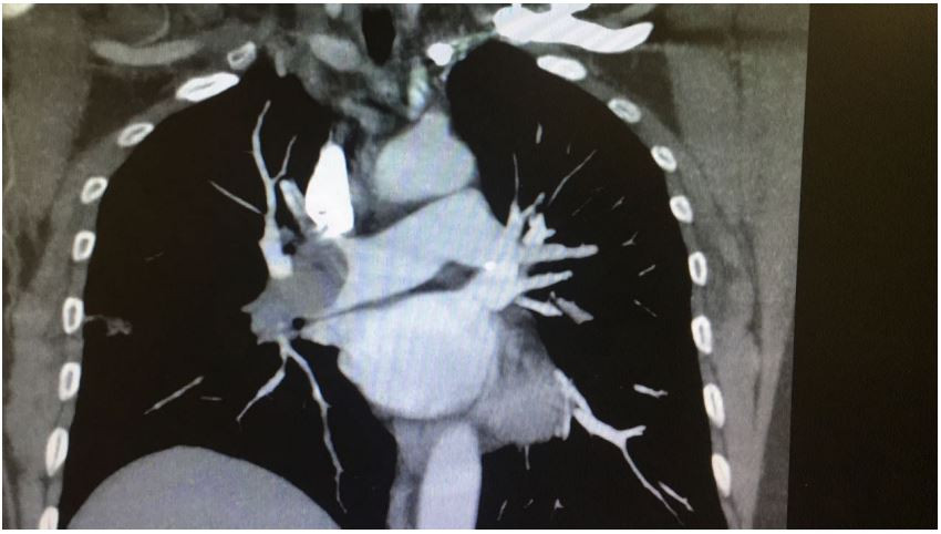
Homem, 58 anos, tabagista, é admitido na unidade de emergência com queixas de dor torácica anterior e dispneia intensa há 30 minutos, de início súbito. Encontra-se taqui-dispneico, sudoreico e agitado. Murmúrio vesicular presente, sem ruídos adventícios, frequência respiratória – 38 irpm, ritmo cardíaco regular, sem sopros ou bulhas acessórias, frequência cardíaca – 132 bpm, pressão arterial – 62X32 mmHg. Saturação de oxigênio (em ar ambiente) = 78%. O eletrocardiograma mostra apenas taquicardia sinusal. Realiza a seguinte tomografia computadorizada de tórax:

Qual a melhor conduta neste caso?
Provas
Questão presente nas seguintes provas