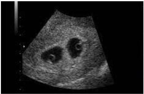
Paciente com 32 semanas de idade gestacional foi encaminhada para realização de ultrassonografia obstétrica, onde aparentemente observa-se uma placenta, dois fetos e duas cavidades amnióticas. Ela realizou um exame de ultrassom com 7 semanas de gestação em consultório, porém só possui as imagens.
Com base na foto abaixo, assinale a afirmativa correta:

Provas
Questão presente nas seguintes provas