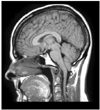
A ressonância magnética de crânio apresenta uma malformação, muitas vezes congênita, capaz de causar sintomas neurológicos como dor cervical; vertigem; perda de equilíbrio; e, disfagia.

Podemos afirmar que tal condição se refere à síndrome de:
A ressonância magnética de crânio apresenta uma malformação, muitas vezes congênita, capaz de causar sintomas neurológicos como dor cervical; vertigem; perda de equilíbrio; e, disfagia.

Podemos afirmar que tal condição se refere à síndrome de: