Magna Concursos
2340526 Ano: 2022
Disciplina: Medicina
Banca: FGV
Orgão: TRT-16

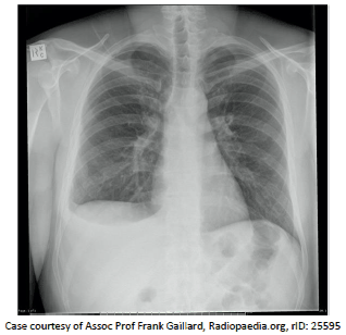
Um paciente de 45 anos é atendido em um ambulatório. Ele apresenta: queda do estado geral e sensação de febre. Ele traz uma radiografia de tórax em posição póstero-anterior realizada recentemente.

Enunciado 3476390-1

Esta radiografia revela

 

Provas

Questão presente nas seguintes provas

Analista Judiciário - Medicina

80 Questões