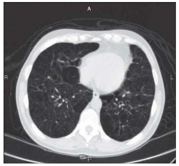
Um homem de 66 anos de idade, tabagista (carga tabágica de 150 maços/ano), portador de insuficiência cardíaca, diabetes e hipotireoidismo, procurou ajuda, no hospital local, por tosse, com expectoração amarelada, e piora da dispneia basal há dois dias. Nega febre. Ao exame, encontrava-se emagrecido e hidratado, com ACV: RCR em dois tempos, bulhas normofonéticas, FC de 80 bpm, MV+ bilateralmente, com sibilos esparsos e roncos, FR de 30 irpm e membros inferiores sem edemas. Laboratório: Hb 15.8; leucócitos 9.000, sem desvios; PCR 5 (ref. 0,5); Cr 1.5; UR 60; glicose 146; Na+ 146; e K+ 4.6. Gasometria: pH 7.3; PaCO2 60; HCO3 30.2; BE+ 7; e sat. de O2 de 87% em ar ambiente. Realizou a tomografia de tórax mostrada a seguir.

Internet: Pulmão RJ 2013;22(2):45-49.
Com base nessa situação hipotética, assinale a alternativa que apresenta, correta e respectivamente, o diagnóstico mais provável e a conduta a ser adotada.