A proteína verde fluorescente, do inglês green fluorescence protein (GFP) – observada pela primeira vez na água-viva (Aequorea victoria) –, tornou-se uma das ferramentas mais importantes usadas na biociência contemporânea. Evolutivamente, a distribuição filogenética dos genes homólogos de GFP foi encontrada apenas nos filos Cnidaria, Arthropoda e Chordata.
(Adaptado de MACEL, Marie-Lyne et al. Zoological Letters, Londres. v. 6, p.2-11, 2020.)
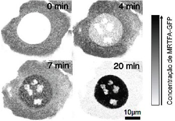
Com o uso de biotecnologia, pesquisadores podem ligar a GFP a outras proteínas de interesse, antes invisíveis. Assim, esse marcador brilhante permite a observação dos movimentos, das posições e das interações das proteínas marcadas. A figura a seguir apresenta a variação da localização celular da proteína MRTFA-GFP em função do tempo. Após um estímulo em t = 0 min, a localização da proteína MRTFA-GFP se modifica devido ao seu correto enovelamento (quando a estrutura de uma proteína assume a sua configuração funcional).
(Adaptado de INFANTE, Elvira et al. Nature Physics, Londres, v. 15, p. 973-981, set. 2019.)

Sobre a localização celular da proteína MRTFA-GFP entre o tempo inicial (t = 0 min) e o final (t = 20 min), assinale a alternativa correta.