Uma mulher de 76 anos de idade, previamente
funcional e independente para ABVDs, apresentava os
seguintes antecedentes pessoais: hipertensão arterial
sistêmica; dislipidemia; diabetes tipo 2; insuficiência
cardíaca de fração de ejeção preservada; aneurisma de
aorta abdominal operado com endoprótese vascular há
três meses; adenocarcinoma colorretal com tratamento
cirúrgico há 15 anos; arritmia e lombalgia crônica por hérnia
de disco com artrodese lombar há 10 anos. A paciente
foi ao pronto-socorro, trazida pelo filho, com história de
confusão mental, sonolência e mal-estar. O filho relatou
que o quadro iniciou-se há três dias, com importante piora
hoje. Ele associou essa progressão negativa ao aumento de
dose de opioides, dos quais a mãe faz uso devido a uma
dor lombar.
Ao exame físico admissional: sonolenta; ausência
de resposta a estímulo verbal; resposta frustrada a estímulo
doloroso; FC de 127 bpm; sat. 88% em CN O2 a 4l/min; PA
de 85 x 55 mmHg; enchimento capilar de 4 segundos; e
temperatura de 38,7 °C.
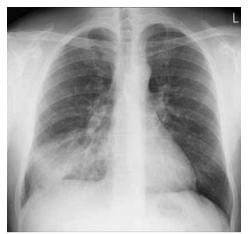
Além disso, observaram-se eletrocardiograma em
ritmo de fibrilação atrial, ausculta pulmonar com estertores
de base até terço médio bilateralmente, FR de 33 irpm,
edema bilateral de membros inferiores e estase jugular. Um
raio X do tórax está disposto a seguir.

Provas
Questão presente nas seguintes provas
Residência em Medicina - Endoscopia/Nutrologia
50 Questões