Magna Concursos
3317728 Ano: 2023
Disciplina: Medicina
Banca: Pref. Bauru-SP
Orgão: Pref. Bauru-SP
Provas:

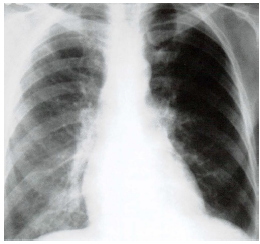
Assinale a alternativa que apresenta o sinal observado no raio x:

Enunciado 3505526-1

 

Provas

Questão presente nas seguintes provas

Médico - Radiologia

40 Questões