Magna Concursos
2841280 Ano: 2022
Disciplina: Biologia
Banca: FGV
Orgão: POLITEC-AP
Provas:
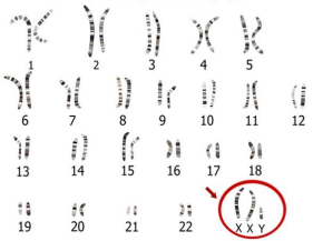
Uma mulher e um homem normais para a identificação visual das cores têm um filho daltônico, cujos cromossomos podem ser vistos no idiograma a seguir:
Enunciado 3553046-1
(Fonte: https://andrologylab.gr/en/services/genetic-testing/karyotype/)
A explicação possível para o fato de este casal ter tido um filho daltônico é ter ocorrido a não disjunção dos(as)
 

Provas

Questão presente nas seguintes provas

Perito Criminal - Biologia

60 Questões