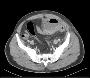
Paciente, 58 anos, chega ao pronto atendimento com história de dor em fossa ilíaca esquerda, que piorou progressivamente nas últimas 48 horas, sem febre. O exame físico mostrou abdome pouco distendido, doloroso à palpação difusa, dor à palpação mais localizada em fossa ilíaca esquerda, onde o sinal de Blumberg apresenta-se positivo.
O hemograma mostra contagem de leucócitos de 13.500/mm3 com 867 bastões, e a dosagem do PCR foi de 23 mg%. Foi solicitada a TC de abdome mostrada abaixo.

Fonte: https://doi.org/10.53347/ID.52993
Acesso em abril 2022
Em relação ao caso, é correto afirmar que: