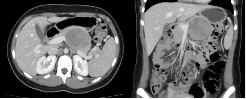
Mulher, 18a, apresenta leve dor em hipocôndrio esquerdo há 4 meses, sem outras queixas. Não possui antecedentes pessoais relevantes. Exame físico: presença de volumosa tumoração palpável em mesogástrio e hipocôndrio esquerdo. Realizada tomografia computadorizada de abdome superior, apresentada abaixo:

Considerando a topografia pancreática da lesão, assinale a alternativa que contenha a hipótese diagnóstica mais provável e o tratamento indicado: