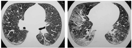
Uma paciente do sexo feminino, 33 anos, procurou pneumologista com história de dispneia progressiva há dois anos, atualmente para subir qualquer aclive; tosse seca frequente há seis meses. Tabagista ativa desde os quatorze anos de idade (carga tabagística: 35 maços-ano). Negava asma e exposições ambientais ou ocupacionais relevantes. Bancária desde os 23 anos de idade, trabalhando no setor de informática. Exame físico: bom estado geral; frequência respiratória = 20 respirações por minuto; pulso = 88 bpm (batimentos por minuto); SpO, (saturação periférica de oxigênio)=92% em ar ambiente; na ausculta pulmonar: estertores finos bibasilares. Prova de função pulmonar: CVF (capacidade vital forçada)=58%; VEF1(volume expiratório forçado no primeiro segundo)=60%; difusão pulmonar para o monóxido de carbono=55%. Tomografia de alta resolução do tórax (figura 1 — abaixo). Hemograma completo: normal. Investigação para doença do colágeno negativa. Feito biopsia pulmonar cirúrgica que mostrou espessamento alveolar septal difuso, hiperplasia de pneumócitos do tipo II e preenchimento intra-alveolar intenso de macrófagos pigmentados. Dentre as opções abaixo, qual o diagnóstico mais provável.

Assinale a alternativa correta.