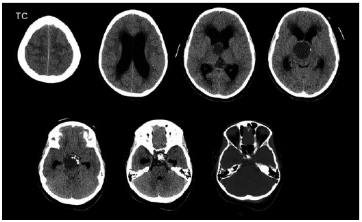
Considere o caso e a imagem a seguir.
Paciente com cefaleia há três semanas. Procurou atendimento anteriormente, mas foi medicado e liberado. Piorou com tonturas e sensação de desmaio e voltou ao pronto-socorro, onde realizaram uma tomografia do crânio.

Em face do exemplo, o diagnóstico é: