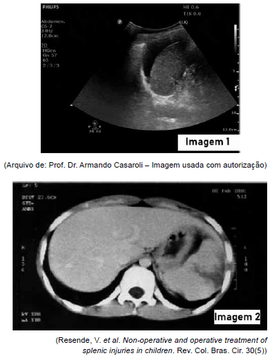
Homem de 25 anos sofre agressões no abdome e dá entrada na emergência consciente, referindo dor abdominal. Realizada avaliação e atendimento iniciais a contento, apresentando estabilização hemodinâmica. Com relação ao achado do e-FAST, demonstrado na imagem 1 (demais focos sem alterações), e a tomografia computadorizada de abdome (imagem 2), pode-se concluir, corretamente, que o paciente apresenta:
