- Anatomia e Fisiologia HumanaSistema Respiratório
- Protocolos de Exames de Medicina NuclearProcessamento de Imagens Radiológicas
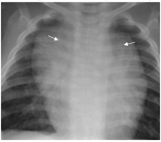
Observe a radiografia de tórax de uma criança de 4 meses a seguir:

Em relação à imagem, é correto afirmar que
Observe a radiografia de tórax de uma criança de 4 meses a seguir:

Em relação à imagem, é correto afirmar que