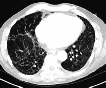
Homem de 67 anos é avaliado por dispneia gradualmente progressiva e tosse seca nos últimos 6 meses. Ele tem um histórico de tabagismo de 30 maços/ano, mas parou há 10 anos. O restante dos antecedentes mórbidos não é relevante. Exame físico: frequência respiratória: 22 ipm; saturação de oxigênio: 93% em ar ambiente; ausculta pulmonar: crepitações inspiratórias finas (tipo velcro) em ambas as bases pulmonares; nota-se baqueteamento digital. A espirometria mostra capacidade vital forçada (CVF) de 55% do previsto; relação VEF1/CVF de 0,91; DLCO de 42% do previsto. A tomografia de alta resolução do tórax é mostrada a seguir.

(Arquivo pessoal; imagem usada com autorização)
A principal hipótese diagnóstica é