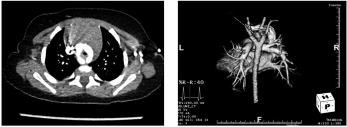
Mãe de lactente de um ano refere que seu filho apresenta chiado no peito desce o nascimento. Vem sendo tratado como bronquiolite desde então. Procurou novo pediatra que o encaminhou ao cardiopediatra. Mãe apesar de desconfiada passou em consulta e realizou radiografia de tórax normal, eletrocardiograma normal, ecocardiograma que viu alguma alteração na aorta nada conclusivo e angiotomografia e tomografia de tórax.

Com base nessas ilustrações, qual seu diagnóstico?