
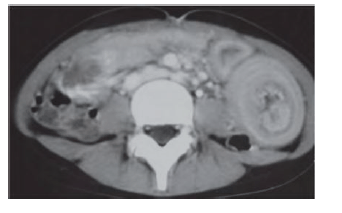
Menino de 14 anos de idade, com diagnóstico de púrpura de Henoch-Schönlein, procurou atendimento em uma emergência em razão de dor abdominal aguda de forte intensidade e vômitos há algumas horas, além de eliminação de fezes com muco e sangue. Realizou tomografia de abdome mostrada na figura apresentada.
A melhor hipótese diagnóstica para esse caso hipotético é de
Provas
Questão presente nas seguintes provas
Médico - Biometria/Perícia Médica
50 Questões
Médico - Cardiologia
50 Questões
Médico - Cirurgia do Aparelho Digestivo
50 Questões
Médico - Cirurgia Geral/Trauma
50 Questões
Médico - Cirurgia Oncológica
50 Questões
Médico - Cirurgia Pediátrica
50 Questões
Médico - Endoscopia
50 Questões
Médico - Genética
50 Questões
Médico - Geriatria
50 Questões
Médico - Ginecologia e Obstetrícia
50 Questões
Médico - Hematologia e Hemoterapia
50 Questões
Médico - Infectologia
50 Questões
Médico - Medicina de Emergência
50 Questões
Médico - Medicina Física e Reabilitação
50 Questões
Médico - Medicina Paliativa
50 Questões
Médico - Nefrologia
50 Questões
Médico - Neurologia
50 Questões
Médico - Neurologia Pediátrica
50 Questões
Médico - Oncologia
50 Questões
Médico - Ortopedia e Traumatologia
50 Questões
Médico - Pneumologia
50 Questões
Médico - Radioterapia
50 Questões
Médico - Saúde da Família
50 Questões
Médico - Terapia Intensiva/Pediatria
50 Questões