
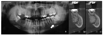
Homem de vinte e cinco anos de idade, melanoderma, compareceu a unidade odontológica para a remoção de terceiro molar superior. Por imagem radiográfica, constatou-se aumento de volume radiopaco fundido ao ápice do dente 37 circundado por um fino halo radiolúcido, conforme indicado pela seta na imagem radiográfica a. Foi solicitada a realização de tomografia, para confirmação das características previamente identificadas. As imagens da tomografia correspondem às indicadas pelas letras b e c.
Considerando-se o aspecto patognomônico da lesão, é correto afirmar que se trata de