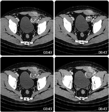
Homem de 35 anos foi submetido a uma herniorrafia inguinal esquerda pela técnica aberta/convencional de Lichtenstein. No 15º dia de pós-operatório, apresentou dor no local da incisão e sinais flogísticos locais. Foi realizada tomografia computadorizada (a seguir demonstrada).

(Arquivo pessoal; imagens usadas com autorização)
O diagnóstico do paciente é