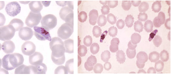
Um homem de 45 anos, caminhoneiro, residente em Aparecida de Goiânia, voltou de uma viagem que fez a trabalho à região Norte do Brasil, onde permaneceu por oito dias. Ele apresentava os seguintes sintomas: quadro de mal-estar, dor de cabeça, cansaço e dor muscular, que evoluíram para episódios de febre intermitente, com periodicidade de 48 em 48 horas. Procurou uma unidade de saúde, e o médico solicitou a realização de pesquisa de parasitos em sangue periférico. As formas parasitárias encontradas foram as seguintes:

Disponível em: <http://dpd.cdc.gov/dpdx/
html; http://www.icb.usp.br/~livropar/ img/capitulo2/8.html> Acesso em 10 mar. 2012.
De acordo com as imagens, as morfologias das formas sanguíneas encontradas correspondem a gametócitos de