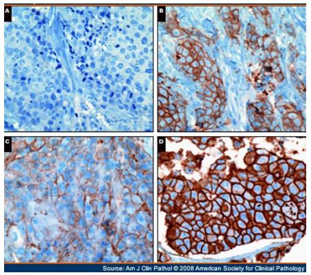
As lâminas abaixo representam o escore do status HER2 de tumores de mama. Quais os dois subtipos moleculares que correspondem ao escore indicado na lâmina D?
Não é possível afirmar, pois é necessária confirmação pelo FISH
Luminal HER, Luminal A
Triplo negativo, Luminal B não-HER
Luminal HER, não-luminal HER2 (HER2 puro)
Olá, para continuar, precisamos criar uma conta! É rápido e grátis.