Magna Concursos
2828775 Ano: 2022
Disciplina: Medicina
Banca: VUNESP
Orgão: EsFCEx

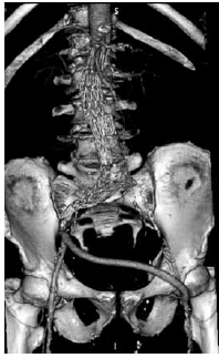
Considere a angiotomografia com reconstrução 3D apresentada a seguir e assinale a alternativa que apresenta a condição aplicável ao implante desse tipo de dispositivo.

Enunciado 3013726-1

 

Provas

Questão presente nas seguintes provas