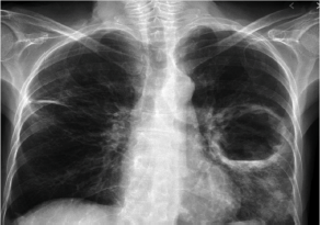
Homem de 40 anos, em situação de rua e etilista, é trazido por seus companheiros ao hospital. O paciente apresenta febre e perda de peso há 4 semanas, acompanhado de tosse com escarro purulento. Ao exame físico, emagrecido, em regular estado geral, com sinais vitais estáveis. Realiza RX tórax:

Sobre a patologia que apresenta, assinale a afirmativa correta.