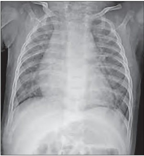
O médico pediatra de plantão é chamado no alojamento conjunto para avaliar um recém-nascido, IG 40 semanas, Apgar 9/10, nasceu há doze horas e está evoluindo com gemência; taquipneia; cianose central; e, queda da saturação de O2. Em ausculta cardíaca, paciente apresenta B2 hiperfonética e única em foco pulmonar. A avaliação radiográfica identifica cardiomegalia e aumento de trama vascular:

O paciente é transferido para Unidade de Terapia Intensiva Neonatal, onde é realizada a intubação orotraqueal; porém, ele mantém piora progressiva do quadro clínico. Não há ecocardiograma disponível na unidade no momento. A conduta imediata deve ser: