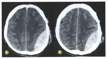
A seguinte tomografia computadorizada de crânio evidencia
Olá, para continuar, precisamos criar uma conta! É rápido e grátis.