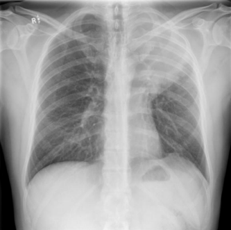
Homem de 30 anos, previamente hígido, farmacêutico, é atendido em ambulatório devido à queixa de tosse seca de mais de 6 meses de evolução. Buscou atendimento, pois vem tendo episódios de febre durante a noite, acompanhados de sudorese profusa, que cessam ao uso de dipirona. Durante anamnese, nega escarro produtivo, hemoptise, dor torácica ou dispneia, mas refere perda de peso discreta no período. No exame físico, evidencia-se adenomegalia de cerva de 2 centímetros em cadeia cervical anterior esquerda, pouco endurecida, aderida a planos profundos, sem sinais flogísticos, além de abaulamento discreto em fossa supraclavicular ipsilateral. Ausculta pulmonar com murmúrio vesicular reduzido, percussão com submacicez e frêmito toracovocal aumentado em ápice esquerdo, além de sibilos discretos em hemitórax esquerdo. Realizou a radiografia abaixo.

Com base no caso acima, a hipótese diagnóstica mais provável para o paciente é