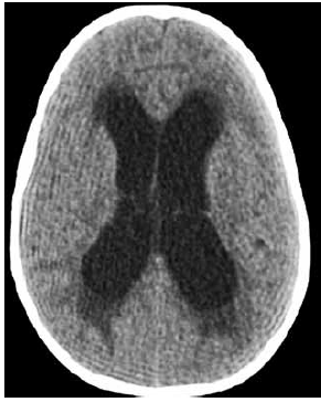
Criança de 2 anos e 8 meses, internada em uma enfermaria, no pós-operatório de uma neurocirurgia, com queixa de sonolência, tem história de tumor de tronco ressecado há 1 semana, sem a realização de derivação ventrículo peritoneal, pois o neurocirurgião achou desnecessário e optou por observar clinicamente a evolução da criança. Nas últimas 6 horas, está mais sonolenta. Foi avaliada pelo médico hospitalista, que solicitou uma tomografia de crânio, e encaminhada pelo técnico de transporte e transferência para UTI após o exame. No exame de entrada na UTI pediátrica: regular estado geral, descorada+, acianótica, anictérica, bradipneica, afebril, letárgica (sem abertura ocular ao chamado ou à dor, gemência aos estímulos dolorosos, resposta motora com retirada inespecífica à dor), FR – 16 irregular Sat – 92% em nebulização com oxigênio 5l/minuto, PA – 155 x 100 mmHg, FC – 65 bpm, pulsos firmes, tempo de enchimento capilar – 2 segundos.
Imagem da tomografia de crânio:

Com relação à conduta inicial, hipótese diagnóstica e conduta a ser tomada imediatamente, assinale a alternativa correta.