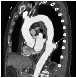
Homem, 60 anos, hipertenso, apresenta dor em dorso de forte intensidade e início súbito. FC: 90 bpm. PA: 200x120 mmHg. Realizou-se a tomografia computadorizada de aorta a seguir.

(BRAUNWALD, E. et al. (Ed.) Tratado de Doenças Cardiovasculares. 11 Ed. Rio de Janeiro: Editora Elsevier, 2022. 2 vol)
Com base no que revela o exame, a hipótese diagnóstica é: