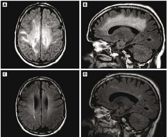
Paciente do sexo feminino, 22 anos, com quadro de cefaleia, mal-estar, confusão mental, febre não termometrada, meningismo, ataxia, afasia, nistagmo e retenção urinária.

Com base no caso clínico e nas imagens apresentadas, qual o provável diagnóstico?