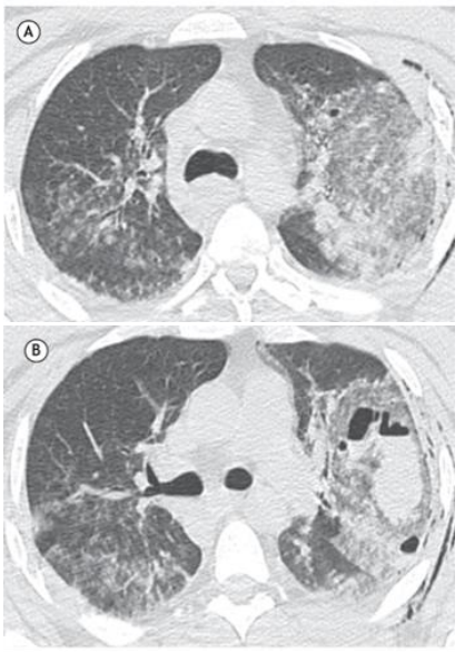
Homem de 38 anos, sem comorbidades, deu entrada no pronto-socorro após acidente de moto, queixando-se de dor torácica, tosse e hemoptise.
O paciente realizou tomografia computadorizada como parte da rotina diagnóstica.
O resultado foi:

Em relação ao exame apresentado, assinale a afirmativa correta.
Provas
Questão presente nas seguintes provas