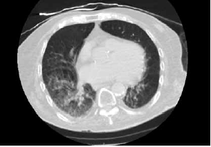
Paciente de 90 anos e admitido no Pronto-socorro com queixa de tosse, sonolência e diminuição da ingestão alimentar. Foi realizada uma tomografia computadorizada de tórax mostrada a seguir.

(Arquivo pessoal; imagem usada com autorização)
Assinale a alternativa correta.