Analise o caso clínico a seguir para responder à questão:
Paciente do sexo masculino, de 52 anos, IMC igual a
41 kg/m2, portador de diabetes mellitus tipo 2, em uso de
semaglutida 2,4 mg/semana há três meses e rosuvastatina
20 mg/dia, é admitido na UTI com dor epigástrica intensa
irradiada para dorso, taquipneia e oligúria há dezoito horas.
Relata náuseas e vômitos persistentes, sem etilismo recente
há 32 horas. Ao exame físico: PA: 88 × 54 mmHg; FC: 124 bpm;
FR: 32 irpm; SpO2
91% em O2
nasal: 3 L/min; T: 38,7 °C.
Abdome distendido, doloroso difusamente, sem defesa
peritoneal franca. Exames laboratoriais iniciais: leucócitos:
22.300/mm3; amilase: 1.040 U/L; lipase: 1.350 U/L; creatinina: 2,2 mg/dL (prévia: 0,9 mg/dL); lactato: 3,8 mmol/L;
PCR: 42 mg/dL; triglicerídeos: 210 mg/dL; AST/ALT: discretamente elevadas; pH: 7,28; HCO3–: 18; PaO2: 62 mmHg;
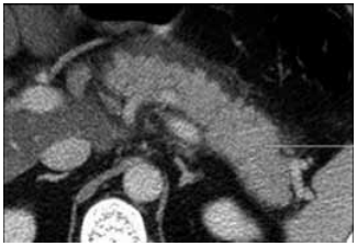
FiO2: 0,4. TC de abdome com contraste mostrado a seguir:

(Arquivo pessoal; imagem usada com autorização)
Provas
Questão presente nas seguintes provas