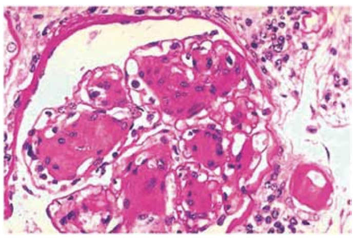
Homem, 54 anos, diagnóstico de diabetes mellitus há
4 anos, desconhecia o valor de sua glicemia antes do
diagnóstico. Na consulta inicial, negou antecedentes patológicos. Exame físico: PA 135 x 80 mmHg e edema de
membros inferiores ++/4. Exame de fundo de olho normal. Exames recentes: creatinina sérica = 1,3 mg/dL;
exame de urina: proteína +++/4, hemácias = 80.000/mL
(VR até 10.000), leucócitos = 8.000/mL (VR até 10.000);
proteinúria 3,8 g/24horas; albumina sérica 3,1 g/dL. Realizada biópsia renal, na qual foi identificada a seguinte
lesão glomerular na microscopia óptica:

(Arquivo pessoal; imagem usada com autorização)
Em face do exposto, assinale a alternativa correta.

(Arquivo pessoal; imagem usada com autorização)
Em face do exposto, assinale a alternativa correta.