Magna Concursos
3610883 Ano: 2024
Disciplina: Medicina
Banca: VUNESP
Orgão: EsFCEx

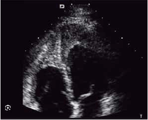
Paciente com dispneia aos esforços realiza o ecocardiograma a seguir.

Enunciado 4231967-1

(Arquivo pessoal; imagem usada com autorização)

A imagem sugere qual causa de miocardiopatia restritiva?

 

Provas

Questão presente nas seguintes provas