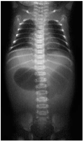
Recém-nascido, com um dia de vida, apresenta vômitos biliosos e distensão em epigástrio desde as primeiras horas de vida. O raio-X de abdome do paciente apresenta-se a seguir:

A principal hipótese diagnóstica e conduta cirúrgica são, respectivamente: