Mulher de 29 anos, submetida a bypass gástrico em Y de
Roux há 3 anos, evoluiu com boa perda ponderal e seguimento regular. Após 2 anos de cirurgia, iniciou reganho
de peso, recorrendo a um regime alimentar hipocalórico.
Iniciou episódios recorrentes de dor abdominal em andar
superior, náuseas e vômitos pós-prandiais há 2 semanas, com piora importante nas últimas 24 horas, quando
buscou o pronto-socorro. Ao exame físico, apresenta dor
em andar superior do abdome, sem sinais de peritonite.
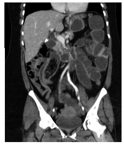
Realizou a tomografia computadorizada demonstrada na
imagem a seguir:
(Arquivo pessoal; imagem usada com autorização)
Diante do quadro, qual a principal hipótese diagnóstica e a conduta indicada, respectivamente?
(Arquivo pessoal; imagem usada com autorização)
Diante do quadro, qual a principal hipótese diagnóstica e a conduta indicada, respectivamente?
Provas
Questão presente nas seguintes provas