Analise o caso clínico a seguir para responder à questão abaixo:
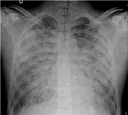
Você é chamado para discutir o caso de um paciente internado na UTI há 3 dias, com diagnóstico de síndrome do desconforto respiratório agudo (SDRA), em ventilação mecânica de difícil manejo. Histórico: Paciente masculino, de 27 anos de idade, hipertenso e dislipidêmico, busca atendimento hospitalar devido a febre, tosse e dispneia há 3 dias. Na admissão, apresentava-se com sinais de choque séptico e franca insuficiência respiratória. Na ausculta pulmonar, estertores creptantes presentes difusamente. O paciente foi encaminhado à UTI e submetido à ventilação mecânica, além de suporte clínico e prescrição farmacológica.
Parâmetros da ventilação mecânica atual: modo: ventilação assistida controlada; ciclagem: volume controlada; volume corrente: 6 mL/Kg; PEEP: 12 cm H2O; FiO2: 70%; FR: 30 ipm;relação. Inspiração: expiração: 1:1; pressão de Platô: 30 cm H2O. Última gasometria: pH 7,22; PaO2 62 mmHg; PaCO2 69 mmHg; BE: –1,4 mmol/L; SaO2 86%; bicarbonato 20 mEq/L.
Exame de imagem:

(Disponível em: https://resources.wfsahq.org/ atotw/sindrome-do-desconforto-respiratorio-agudo/)
Considerando a patogênese da SDRA grave, qual alternativa justifica a dificuldade no manejo ventilatório desse paciente?