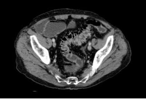
Homem, previamente hígido, 52 anos. Admitido na emergência com mal-estar e dor em FIE há 48h. Nega febre.
Leucócitos 9.800. Realizou TC de abdome abaixo.
Após parecer da cirurgia geral, qual o diagnóstico e a conduta que devemos implementar?


Provas
Questão presente nas seguintes provas