Magna Concursos
3636050 Ano: 2025
Disciplina: Radiologia
Banca: FGV
Orgão: EBSERH

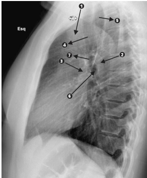
Observe a figura.


Enunciado 3636050-1


Identifique as estruturas assinaladas por números e setas.


A sequência correta, na ordem apresentada, é:

 

Provas

Questão presente nas seguintes provas

Técnico de Radiologia - Radioterapia

60 Questões