- Anatomia e Fisiologia HumanaSistema Neurológico
- Patologia, Diagnóstico e Tratamento Radioterápico
- Protocolos de Exames de Medicina NuclearTécnicas Radiográficas em Tomografia Computadorizada
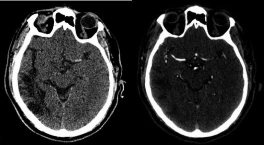
Considere o caso clínico a seguir para responder à questão.
Paciente do sexo masculino, de 65 anos, foi trazido ao pronto-socorro com início súbito de afasia e hemiplegia direita há 4 horas. No exame clínico, apresentado NIHSS de 20. A tomografia computadorizada (TC) de crânios realizada não mostrou sinais de hemorragia intracraniana, mas evidenciou hipodensidade corticossubcortical no território da artéria cerebral média esquerda, com classificação ASPECTS de 8.
Considerando o relato, assinale a alternativa correta em relação ao achado das imagens a seguir:

(Arquivo pessoal; imagem usada com autorização)
Provas
Questão presente nas seguintes provas