Recém-nascido, com três dias de vida, apresentou distensão abdominal com piora progressiva e dois episódios de vômitos amarelados. Eliminou pequena quantidade de mecônio algumas horas antes da avaliação clínica. AP: nascido a termo, filho de mãe diabética. Examefísico: bom estado geral, hidratado, abdome distendido globalmente, sem sinais de reatividade peritoneal.
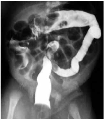
Raio-X de abdome com distensão gasosa difusa em intestino delgado. Enema opaco com contraste hidrossolúvel, conforme imagem a seguir:

Após a realização do enema opaco, houve eliminação de grande quantidade de mecônio, com melhora da distensão abdominal. Não houve novos episódios de vômitos, e o paciente apresentou boa aceitação de dieta e evacuações diárias. Atualmente, com vinte dias de vida, o paciente mostra-se assintomático.
A principal hipótese diagnóstica para o quadro apresentado nos primeiros dias de vida é