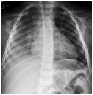
Criança de 1 a 5 m dá entrada no pronto atendimento com história de febre há 5 dias e cansaço hoje. Ao exame físico apresenta: regular estado geral, descorada+, hidratada, acianótica, anictérica, sonolenta, taquidispneia moderada (batimento de asa de nariz e retração intercostal), FR-50, FC-130, PA 80 x 50, Sat 88% em ar ambiente, pulsos firmes (central e periférico) e tempo de enchimento capilar – 2 segundos. Ausculta pulmonar: murmúrio vesicular presente bilateralmente, bastante diminuído em base direita, e com estertoração creptante à direita. A criança foi colocada na sala de emergência, monitorizada, ofertado oxigênio em máscara com reservatório, sem reinalação, 15 litros de oxigênio/min com melhora da saturação – 100%. Obtido acesso venoso periférico, e coletados exames: hemograma, PCR, hemocultura e solicitado radiografia tórax no leito.

Com relação à conduta inicial, hipótese diagnóstica e conduta a ser tomada posteriormente, assinale alternativa correta.