
Internet: Tratado de pediatria/organização Sociedade Brasileira de Pediatria. - 5. ed. - Barueri [SP] : Manole, 2022.
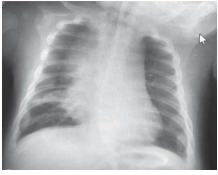
Uma criança de 18 meses de idade com história de chiado recorrente é levada ao pronto-socorro com queixas de tosse persistente, febre de baixo grau e dificuldade respiratória. A mãe relata que os sintomas pioraram nas últimas 24 horas. Na radiografia realizada (conforme imagem), a criança apresenta tiragem subcostal, sibilos difusos na ausculta pulmonar e saturação de oxigênio de 91%.
No que diz respeito ao quadro clínico e aos achados radiológicos, assinale a alternativa que apresenta o diagnóstico e o manejo adequados.