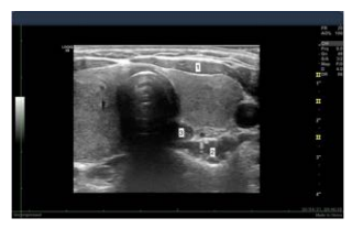
A ultrassonografia cervical, um dos métodos auxiliares mais disponíveis atualmente, não emite radiação ionizante e não tem custos importantes após a aquisição do equipamento. Esse método permite a classificação de diversas patologias e serve como o primeiro método de acesso diagnóstico por meio de punções guiadas e, algumas vezes, intervenções como aspiração, alcoolização ou ablação. Contudo, é um método que requer grande conhecimento anatômico para a correta categorização das estruturas.
Observe a imagem a seguir, na qual se identificam três marcas anatômicas em uma ultrassonografia cervical.

Na imagem acima, os números 1, 2 e 3 correspondem, respectivamente, ao(à):